Discussions
5 Teeth Whitening Facts You Should Know – Standard Dental LLC, Potomac MD

A bright, white smile can boost your confidence and make a lasting first impression. At Standard Dental LLC in Potomac, MD, we often meet patients eager to learn more about professional teeth whitening. While there’s plenty of information (and misinformation) out there, understanding the facts can help you make the best choice for your smile.
Here are five important teeth whitening facts you should know before starting your whitening journey.
1. Professional Whitening Works Faster and Lasts Longer
Over-the-counter whitening products may lighten your teeth, but professional whitening treatments deliver faster, more noticeable results. At Standard Dental LLC, we use advanced whitening systems that safely break down stains in just one visit, with effects that can last for months.
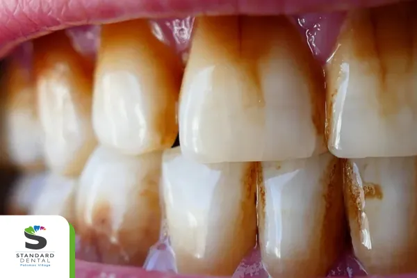
2. Not All Stains Are the Same
Teeth discoloration can be extrinsic (surface stains from coffee, tea, wine, or tobacco) or intrinsic (deeper stains caused by aging, medication, or trauma). Professional whitening is highly effective for most extrinsic stains, while certain intrinsic stains may require other cosmetic dental treatments like veneers or bonding.
3. Whitening Doesn’t Damage Healthy Teeth
When performed under the supervision of a dental professional, whitening treatments are safe for your enamel. The bleaching agents target stains, not tooth structure. At Standard Dental LLC, we also ensure your gums and soft tissues are protected during the process.
4. Results Depend on Your Habits
Your whitening results will last longer if you maintain good oral hygiene and avoid stain-causing foods and drinks. Regular dental cleanings, brushing twice daily, and using a straw for beverages like coffee can help preserve your brighter smile.
5. Sensitivity is Temporary
Some patients experience mild tooth sensitivity after whitening, but it’s temporary and usually subsides within a day or two. Our team can recommend desensitizing products or adjust the treatment to keep you comfortable.
Brighten Your Smile in Potomac, MD
If you’re ready for a whiter, more confident smile, Standard Dental LLC offers safe and effective teeth whitening, invisalign, porcelain veneers potomac, Dental Implants Potomac MD and more options to customized to your needs. Schedule your consultation today and let our experienced team help you achieve the radiant smile you’ve always wanted.
📍 Serving Potomac, MD, and nearby communities
📞 Call us today to book your appointment!
